Oh my teeth導入クリニック大阪梅田矯正歯科




導入設備・サポート
Oh my teethの全てのサービスを体験いただけます
マウスピース矯正
(Oh my teeth、
インビザライン)

歯型3Dスキャン
レントゲンの精密検査も完備

歯科矯正を専門と
するドクターの診断

研磨処理(IPR)
アタッチメント処置

リテーナー(保定装置)
※ご自宅へお届け

ホームホワイトニング
※ご自宅へお届け

+
+
ご案内ガイド
知りたい項目からチェック
クリニックの情報
医療機関名
大阪梅田矯正歯科
アクセス
御堂筋線「梅田駅」徒歩4分
阪神電車「大阪梅田駅」 徒歩5分
四つ橋線「西梅田駅」徒歩8分
営業時間
所在地
大阪府大阪市北区曽根崎2丁目7番地4号
M.VOLANTE UMEDA 7階
御堂筋線梅田駅からのアクセス











西梅田駅からのアクセス















東梅田駅からのアクセス





マウスピース矯正


Oh my teethは自社で製造のラボを持ち、
国内マウスピース矯正ブランド製造数No.1※の
実績があります。
※2025年1月GMOリサーチ&AI社デスクリサーチ調べ
(対象:2024.1~12,国内歯列矯正用マウスピースブランド)
の3つの特徴

料金は全国一律で
決まったプラン

認定された
ドクターの診断

矯正計画・製造は
国内で一括管理
全国どこでも、診察・検査は無料
ぜひお近くのクリニックへお越しください。
料金
追加費用なし。分かりやすい料金プラン。
噛み合わせも考慮しながら、
見える範囲の歯を、短い期間で矯正できます。
安心保証制度
万が一、シミュレーション通りの仕上がりにならなかった場合は、
ご契約プランをもう一度追加料金なしでお受けいただけます。
※治療完了後、装着時間を守っていたのにも関わらずシミュレーション通りに歯が動かなかった場合、1回までコースをまるごとお受けいただけます。
※装着時間の報告や治療進捗の写真報告を怠っている場合、虚偽の報告が認められる場合は対象外となります。




「インビザライン フル」のプランを
通常よりリーズナブルな価格でご提供しています。


診察料・検査料は0円
Oh my teethでは、
以下の追加費用を一切いただいておりません。
プランのご契約前であっても、
初回診察・検査は無料でご提供しております。


お支払い方法
クレジットカード・銀行振込や無理なくお支払いが
可能なデンタルローンをご使用ください。
デンタルローン

無理のない金額で分割払いができるデンタルローンもご用意。
月々のお支払い金額 3,500円から始められます。
必要書類: 〈WEBでのお申込み時〉原則不要
(例)Basicプラン 33万円(税込)の
分割払い36回でお申し込みいただいた場合。
毎月一定のお支払い金額。6回から120回払いまで分割回数を指定できます。
クレジットカード

主要なクレジットカード、デビットカードに対応しています。
Apple Payで支払うことも可能です。
銀行振込

一括払いのみ対応しています。
分割をご希望の場合は、
デンタルローンをご利用ください。
プラン別の症例をご紹介
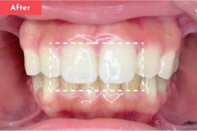
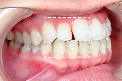
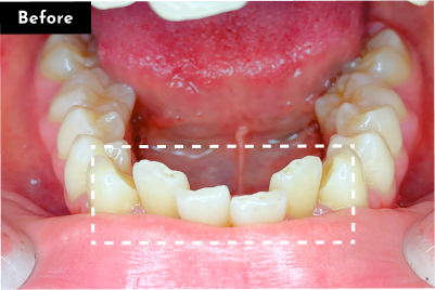
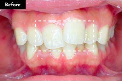
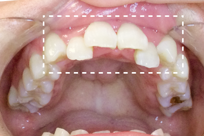
Basicプラン
上下前歯12本の部分矯正
20代 男性
治療費用:Basic 33万円(税込)
治療期間:2ヶ月
- Before
After
- Before
After
- Before
After
※保険適用外の自由診療です。効果や感じ方には個人差があります。
※マウスピース橋正(Oh my teeth含む)の主なリスク:虫歯・歯周病・ブラックトライアングル・歯根吸収・歯肉退縮・1日20時間以上のマウスピース装着が必須・マウスピースにより痛みを感じる可能性・治療中に一時的にかみ合わせに不具合をきたす可能性・治療期間と同等の期間、1日20時間リテーナーを装着、リテーナー期間以降は就寝時の装着を推奨。
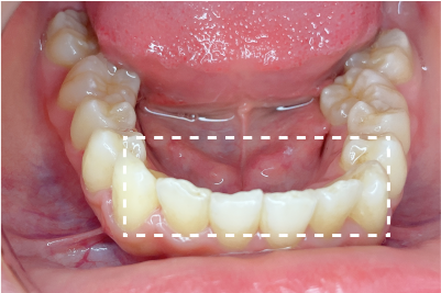
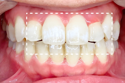
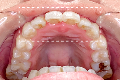
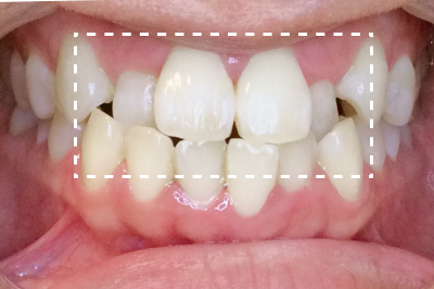
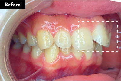
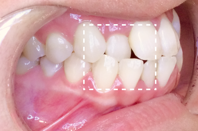
Proプラン
上下前歯24本の部分矯正
30代 女性
治療費用:Pro 66万円(税込)
治療期間:9ヶ月
- Before
After
- Before
After
- Before
After
※保険適用外の自由診療です。効果や感じ方には個人差があります。
※マウスピース橋正(Oh my teeth含む)の主なリスク:虫歯・歯周病・ブラックトライアングル・歯根吸収・歯肉退縮・1日20時間以上のマウスピース装着が必須・マウスピースにより痛みを感じる可能性・治療中に一時的にかみ合わせに不具合をきたす可能性・治療期間と同等の期間、1日20時間リテーナーを装着、リテーナー期間以降は就寝時の装着を推奨。
無料診断

「矯正をするかどうか、まだ決めていない」
そんな段階でも大丈夫です。
Oh my teethでは、3万円相当の検査を含めた
矯正の診断を完全無料で行っています。

事前予約となっていますので、待ち時間はございません。

お聞きしてから、
専用機器で歯形を3Dスキャン。

目には見えない箇所の
精密な検査を行います。

矯正方法や料金プランについてご案内いたします。
専門的な診断をもとにあなたの理想に合った
矯正方法をご案内します。

Oh my teethでは、豊富な症例データをもとに
歯科矯正を専門とするドクターが診断します。
マウスピース矯正だけを無理に勧めず、
歯並びの状態によっては
ワイヤー矯正を推奨する場合もございます。
抜歯の必要性や親知らずの処置も含めて、
あなたの理想に寄り添いながら
矯正プランを提案いたします。
診断はたった30分。
まずは気軽にご利用ください。

