



ののホワイトニングは2種類
オフィスホワイトニング

オフィスホワイトニングは、クリニックに通って薬剤と光照射機器で行うホワイトニングです。一度の施術から白さの実感が期待できます。
ホームホワイトニング

ホームホワイトニングは、専用のジェルを入れたマウスピースを装着して歯を白くするホワイトニングです。自宅で手軽にできるのが特徴です。
オフィスホワイトニングの
料金プラン
1回照射
8分×1セット
2,980円(税込)
2回照射
8分×2セット
4,980円(税込)
2回照射
薬剤グレードアップ
8分×2セット
15,000円(税込)
※保険適用外の自由診療です。
※施術範囲:上下前歯12本 薬剤:過酸化水素35%配合
ホームホワイトニングの
料金プラン
マウスピースをお持ちでない方
初月22,000円(税込)
次月以降11,000円✓ ホワイトニングキット
✓ マウスピース作成
マウスピースをお持ちの方
初月11,000円(税込)
✓ ホワイトニングキット
※1キットあたりの料金です。
<配送・決済について>
【初回の配送】
オンライン診療後に決済いただき、2営業日以内に発送します。
マウスピースの作成もある場合、さらに1週間ほどお時間をいただきます。
【2回目以降の配送】
初回決済の翌月同日に2回目の決済が自動で行われます。翌月に同日がない場合は1日前に決済されます。
決済後、2営業日以内に発送します。処方する回数については、ドクターの診療に基づき決定します。
【初回の配送】
オンライン診療後に決済いただき、2営業日以内に発送します。
マウスピースの作成もある場合、さらに1週間ほどお時間をいただきます。
【2回目以降の配送】
初回決済の翌月同日に2回目の決済が自動で行われます。翌月に同日がない場合は1日前に決済されます。
決済後、2営業日以内に発送します。処方する回数については、ドクターの診療に基づき決定します。
Results
症例
次はあなたの番です

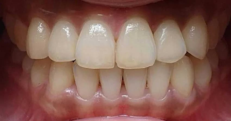
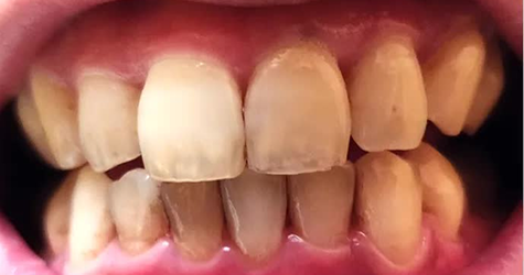
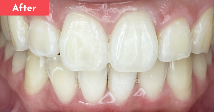
Before

After
20代 | 女性 | 喫煙家
期間:1ヶ月
総額:11,000円 (税込)
施術内容:ホワイトニングジェル(濃度10%)を用いて歯を白くします。
リスク:個人差がありますが、歯がしみる場合があります。ホワイトニングキットには、知覚過敏抑制剤を同梱しています。
※保険適用外の自由診療となります。
※効果や感じ方には個人差があります。
リスク:個人差がありますが、歯がしみる場合があります。ホワイトニングキットには、知覚過敏抑制剤を同梱しています。
※保険適用外の自由診療となります。
※効果や感じ方には個人差があります。

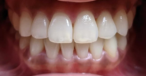
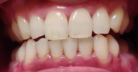
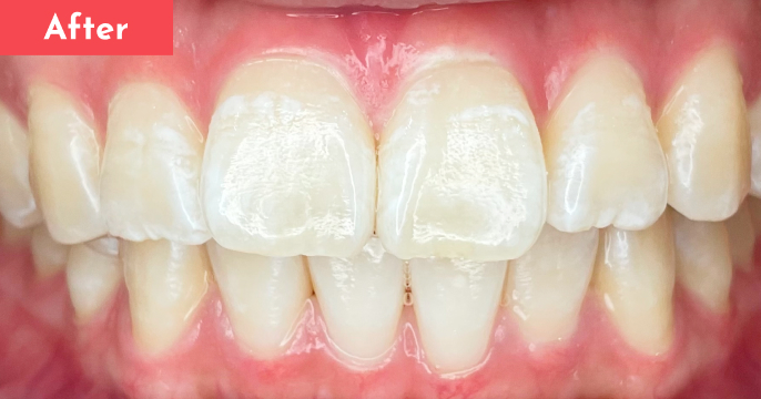
Before

After
30代 | 男性
期間:2ヶ月
総額:22,000円 (税込)
施術内容:ホワイトニングジェル(濃度10%)を用いて歯を白くします。
リスク:個人差がありますが、歯がしみる場合があります。ホワイトニングキットには、知覚過敏抑制剤を同梱しています。
※保険適用外の自由診療となります。
※効果や感じ方には個人差があります。
リスク:個人差がありますが、歯がしみる場合があります。ホワイトニングキットには、知覚過敏抑制剤を同梱しています。
※保険適用外の自由診療となります。
※効果や感じ方には個人差があります。
FAQ
もっと知りたい方へ
▷
どのくらいの期間でどれくらい白くなりますか?
毎日2時間、1ヶ月継続で1〜2トーンの白さアップを目指せます。時間をかけて白さを定着させるので、色が落ちにくく長持ちします。ただし、歯の状態や歯質によって、個人差はあります。まずはドクターによる無料の...
▷
一般的なクリニックで行うホワイトニング(オフィスホワイトニング)と比べて何が違うのですか?
オフィスホワイトニングよりも、自宅で行うホワイトニング(ホームホワイトニング)の方が、持続期間が長いです。なぜなら、毎日続けることによってジェルが徐々に、そして深く歯に浸透していくためです。オフィスホ...
▷
ホワイトニングの持続期間はどれくらいですか?
自宅で行うホワイトニングの持続期間はおよそ1年と言われています。個人差はありますが、長い人だと2年ほど白さを維持できるケースもあります。一度ホワイトニングをした方が再開する場合は、3~5日くらいでもと...
